当前时间:2026年04月22日 01:23:33
    当前位置 > 首页 > 医院新闻
    我院三维适形后装放射治疗填补汕头市技术空白
    所属分类:[医院新闻]      来源:      更新时间:2020-05-27     

    近日,放疗科彭逊副主任率三维适形后装放疗技术攻关团队经过严谨、精心准备,成功为多位子宫颈癌和头颈部肿瘤患者实施三维适形后装放射治疗,这标志着我院后装近距离放射治疗技术迈进三维适形精确治疗时代,克服多年来后装放射治疗的技术短板,填补汕头市三维适形后装放射治疗的技术空白。

    后装放射治疗是外照射放射治疗的重要补充手段,广泛应用于子宫颈癌、子宫内膜癌、肛管直肠癌、鼻咽癌、食管癌、口腔肿瘤的治疗中,特别对子宫颈癌,没有腔内后装就没有子宫颈癌的根治性放射治疗。我院九十年代初期就已开展腔内后装放射治疗,但二维的治疗计划系统不能实现个体化治疗手段,不同病情的病人使用相同的治疗计划模板,难免顾此失彼,特别是部分病人治疗后受放射性膀胱炎、直肠炎困扰,严重影响生活质量。

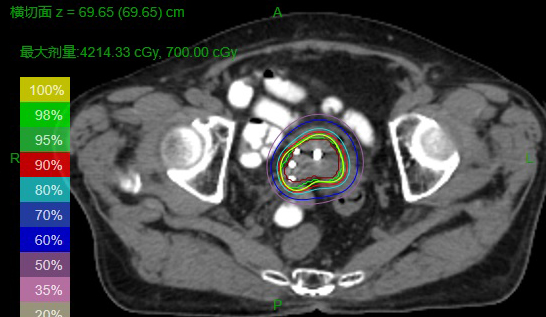
    三维适形后装放射治疗通过一定的质量保证手段,留置好施源器后进行CT模拟定位,根据MRI、CT影像勾画出外照射后残留肿瘤及结肠、直肠、膀胱等需要保护的危及器官,利用三维治疗计划系统设计三维适形后装放射治疗计划,可以准确显示出肿瘤的照射剂量、危及器官的受照剂量,达到个体化治疗的目的。

    受新冠肺炎疫情影响,在“派出去学习、请进来指导”受限制的情况下,放疗科彭主任率放疗三区翟田田、余元祥医生,放疗物理技术部黄宝添副主任和张基永、林珠、邓春燕物理师、技术组副组长王国喜治疗师、刘晓庆护师等组成技术攻关团队,经过严谨、认真的学习、准备,并邀请国内实施三维适形后装放疗经验丰富的权威专家网络远程实时指导,2月28日成功实施首例子宫颈癌三维适形腔内后装放疗。

    针对局部晚期肿瘤偏侧性生长的特点,彭逊副主任汲取其他单位三维适形后装放疗的临床经验,自制多套个体化施源器模板,3月25日对第二例子宫颈癌病人成功实施腔内联合组织间插植三维适形后装放射治疗。

    团队有序、合理的协作保证了我院三维适形后装放射治疗技术在疫情防控下的顺利开展。每一次三维适形后装治疗从留置尿管开始到治疗结束,耗时约2-3小时,团队的每一位成员各司其职,无缝衔接,以饱满的工作热情、如饥似渴的学习态度,敬小慎微的作风,脚踏实地完成本职工作。目前,团队已顺利完成子宫颈癌、口底癌、鼻咽癌等8例病人共28次三维适形后装放疗。通过比较,子宫颈癌三维适形后装放疗技术在保证肿瘤得到充分照射的情况下,较传统的二维后装技术更好保护了结肠、直肠和膀胱等危及器官,具有广阔的应用前景。


    (通讯员:黄宝添、翟田田)


Baidu
map