当前时间:2026年04月28日 10:39:19
    当前位置 > 首页 > 医院新闻
    无创!不开刀的“口中取石术”
    所属分类:[医院新闻]      来源:      更新时间:2022-05-05     

    近日, 肝胆胰外科成功为胆总管结石患者实施无需开刀,微创的“口中取石术”——内镜逆行胰胆管造影+十二指肠乳头括约肌切开(ERCP+EST)取石术。


    病例回顾

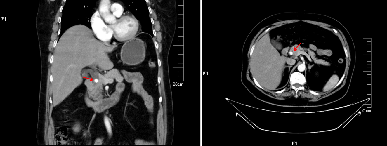
    患者为62岁女性,因“发现右乳肿块2月余”收治于我院乳腺外科,入院后查CT提示:右乳腺癌;胆总管结石;胆囊结石。患者右乳腺癌合并胆道结石问题,经乳腺外科医师专科手术处理后,转肝胆胰外科进一步处理胆道结石。

    ▲CT 检查提示胆总管结石(红色箭头所示)

    治疗过程

    由于郭阿姨在乳腺外科已行两次手术治疗,对再次开刀或腹腔镜手术比较抗拒。此外为了患者术后能尽快恢复,以便进行后续针对乳腺癌的辅助治疗,肝胆胰外科学科带头人古松钢副主任医师决定为患者实施微创的“口中取石”—ERCP取石术,取除患者胆总管的结石。

    ▲ 手术现场

    手术当天,在内镜室负责人郭毅、介入科副主任庄学龙、麻醉科副主任李义贤、黄小燕主治医师及介入手术室廖贤英主管护师的大力支持和默契配合下,历时不到1小时,便将患者胆总管结石顺利取出,手术顺利完成。

    ▲ 十二指肠镜下找到十二指肠乳头,插入导管并造影显示胆总管结石(红色箭头所示)

    ▲ 胆总管结石顺利取出,掉入肠道(红色箭头所示)

    术后患者恢复良好,第二天即可进食。术后无明显并发症并很快出院。用郭阿姨的话说就是“感觉做了次胃镜,就把石头取掉了”。


    关于 ERCP

    ERCP(Endoscopic Retrograde Cholangio Pancreatography)即内镜逆行胰胆管造影术,是指使用十二指肠镜直接观察十二指肠乳头及开口,并经十二指肠乳头插入导管注入造影剂,在X光透视下使胆总管、胰管显影以检查并进行相关手术操作。

    ERCP不仅仅是肝胆胰疾病检查的重要手段,在肝胆胰疾病的治疗方面也具有广泛的应用。ERCP联合十二指肠乳头括约肌切开(EST)术能够将胆总管结石轻松取出到肠道里,不需要使用腹腔镜或开腹行胆总管切开取石,这就是常说的“口中取石”。经EST和经鼻胆管引流(ENBD)、内支架引流(ERBD)能有效地降低胆管压力,引流出感染的胆汁,降低急性梗阻化脓性胆管炎并发症和病死率。对于急性胆源性胰腺炎,及时行EST减压和ERBD、ENBD引流胆汁,可明显降低患者的死亡率。对于奥狄氏括约肌痉挛或良性狭窄,行ERCP+EST术疗效也是可靠的。此外,ERCP还可用于胆道手术后的胆漏的处理以及晚期壶腹周围癌的减黄。

    ERCP是经人体自然腔道(口腔及胃肠道)完成操作,相比传统手术,具有创伤小、并发症少、术后恢复快等优势。同时在操作过程中,可以对十二指肠乳头进行直接观察,若发现问题可进行组织学检查(活检),对胆总管末端梗阻引起的部分梗阻性黄疸有确诊价值。该手术是内镜与介入手术的结合,技术门槛高,操作复杂,是衡量肝胆胰外科诊治技术水平的重要标志。此次手术的顺利开展,填补了我院此项技术的空白,实现了微创技术新的突破。

    关于肝胆胰外科

    我院肝胆胰外科主要擅长原发性肝癌、胰腺癌、壶腹部肿瘤、胆管癌、结直肠癌肝转移、肝内外胆管结石、肝囊肿、胰腺肿瘤及先天性胆管发育异常等疾病的以微创手术为主的综合治疗。常规开展腹腔镜肝切除术、胰十二指肠切除术、肝门部胆管癌根治术、腹腔镜保脾胰体尾切除术、脾切除术、腹腔镜胆总管切开取石术、腹腔镜镜胆囊切除术、胆道镜碎石取石术、内镜逆行胰胆管造影(ERCP),内镜下胆管、胰管支架植入等术式。

    (肝胆胰外科)

Baidu
map