当前时间:2026年04月28日 11:58:48
    当前位置 > 首页 > 医院新闻
    成功摘下“冠上明珠”——肿瘤医院肝胆胰外科开展根治性胰十二指肠切除术
    所属分类:[医院新闻]      来源:      更新时间:2022-06-08     

    近日, 肝胆胰外科成功为一名壶腹部癌患者行根治性胰十二指肠切除术,术后无胰漏、胆漏、出血等并发症,患者恢复良好后出院。


    患者情况

    患者陈先生今年60岁,近期突然发现自己的眼睛及全身皮肤莫名发黄伴皮肤瘙痒。患者遂至我院肝胆胰外科门诊就诊,古松钢副主任接诊后为患者办理入院并安排相关检查。

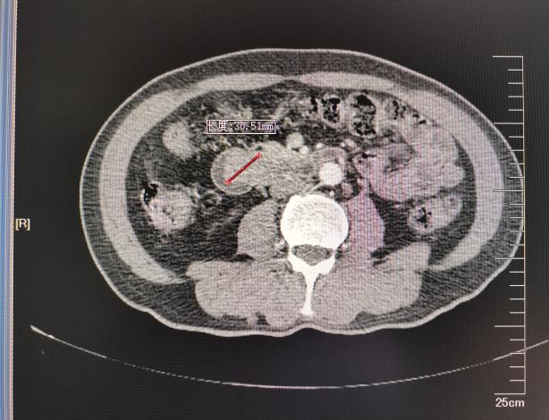
    入院后查血提示肝功能异常,胆红素高达122.1 umol/L。腹部增强CT、增强MR+MRCP均提示:胆总管下段、十二指肠乳头区占位,考虑壶腹癌;低位胆道梗阻,肝内外胆管、胰管扩张。行胃十二指肠镜检查示:十二指肠降段肿物。这些检查结果显示:患者的黄疸症状为壶腹部肿瘤压迫堵塞胆管,胆汁流出受阻所致。


    手术过程

    在经过完善的术前准备和精准的肿瘤评估后,肝胆胰外科古松钢副主任团队决定为患者实施——根治性胰十二指肠切除术。

    患者术前肝功能较差并且影像学检查显示:血管存在解剖学变异,右肝动脉由肠系膜上动脉发出,这些因素均增加了手术的风险与难度。

    在麻醉科徐翔副主任、手术室护理团队的大力支持和默契配合下,手术顺利完成,整个手术过程3个多小时,术中出血约100ml,术后恢复良好,第二天可下床活动,无胰漏、胆漏、出血、感染等并发症。

    患者于术后1周即出院,出院时胆红素已基本降至正常,肝功能已恢复。术后病理示:十二指肠壶腹部中分化腺癌浸润至固有肌层。

    患者家属送来锦旗


    胰十二指肠切除术

    胰十二指肠切除术因手术难度大,切除范围广,术中消化道重建复杂,术后并发症的发生率较高,因此被称为普通外科手术中“王冠上的明珠”。

    手术切除范围包括:远端胃、胆总管下段、胆囊、全部十二指肠、胰头以及区域淋巴结的清扫。术中需施行胆管空肠吻合、胃空肠吻合、胰管空肠吻合的复杂消化道重建。


    胰十二指肠切除术手术图解(图源网络)

    因此,施行胰十二指肠切除术对外科医师的技术要求极高,是衡量肝胆胰外科技术水平的重要标志。此次手术的顺利实施,实现了肿瘤医院在胆道、胰腺疾病治疗方面的新突破。


    肝胆胰外科

    肝胆胰外科主要擅长原发性肝癌、胰腺癌、壶腹部肿瘤、胆管癌、结直肠癌肝转移、肝内外胆管结石、肝囊肿、胰腺肿瘤及先天性胆管发育异常等疾病的以微创手术为主的综合治疗。

    常规开展腹腔镜肝切除术、胰十二指肠切除术、肝门部胆管癌根治术、腹腔镜保脾胰体尾切除术、脾切除术、腹腔镜胆总管切开取石术、腹腔镜镜胆囊切除术、胆道镜碎石取石术、内镜逆行胰胆管造影(ERCP),内镜下胆管、胰管支架植入等术式。


    (肝胆胰外科)

Baidu
map