当前时间:2026年04月28日 23:02:33
    当前位置 > 首页 > 医院新闻
    刀过无痕,“乳”此完美——肿瘤医院乳腺中心开展三项单孔腔镜技术均填补粤东地区空白
    所属分类:[医院新闻]      来源:      更新时间:2022-12-02     

    近年来,汕头大学附属肿瘤医院乳腺中心不断迎难而上,结合学科特点、手术方式的临床疗效以及现代社会审美需求,相继开展各类微创腔镜新技术。

    236633b1e4507da50f0c17f85b83dae.jpg

    图片 2.png

    自乳腺中心自开展腔镜手术以来,目前已完成单孔腔镜手术11例,其它各类传统腔镜手术也在相继开展。其中,单孔腔镜乳腺纤维瘤/良性纤维上皮性肿瘤切除术、单孔腔镜乳腺癌保留乳头乳晕皮下腺体切除术+腋窝前哨淋巴探查术以及单孔腔镜腋窝淋巴结清扫术三项单孔腔镜术式均填补粤东地区空白。至此,乳腺中心稳步迈进腔镜新纪元。

    微创腔镜技术是20世纪外科治疗技术的重大进展之一,推动着外科手术向精准、微创和保护器官功能方向发展。乳腺手术不再只是残酷地“一切了之”,随后空留乳腺表面皮肤“蜈蚣状”长条手术疤痕,而是追求更安全、更微创、更美观的手术方式。腔镜技术具有“创伤小、恢复快、病已去、形还在”等特点,在乳腺外科领域应用的优势在于能够避免常规手术中对恶性肿瘤的挤压,真正达到非接触性手术的目的,更加符合无瘤手术的原则。乳腺腔镜手术,因其手术临床获益明显,乳腺表面皮肤实现无痕化,仅有隐蔽于腋窝皱襞或侧胸壁长约2.5cm微创腔镜小切口,实现人们对美的需求,减少生理和心理的创伤,深受女性朋友欢迎。


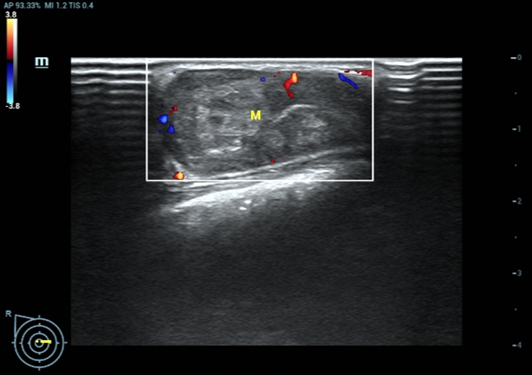
    病例展示


    1、单孔腔镜乳腺纤维瘤/良性纤维上皮性肿瘤区段切除术

    图片 3.png

    手术病例均为女性,年龄在16-67岁之间,双侧乳腺良性肿瘤3例,左侧乳腺良性肿瘤3例,右侧乳腺良性肿瘤2例,肿瘤最长径在3.6-8.2cm之间,切口位置均选择隐蔽在腋窝皮肤皱襞,长度约2.5cm,病理结果为乳腺纤维腺瘤、良性纤维上皮性肿瘤或良性叶状肿瘤。

    微信图片_20221202184457.jpg

     

    2、单孔腔镜乳腺癌保留乳头乳晕皮下腺体切除术+腋窝前哨淋巴结探查术

    微信图片_20221202184931.png

    手术病例为48岁女性,仅有一处手术切口,隐蔽于腋窝皮肤皱襞处,长度约2.5cm,先行腋窝前哨淋巴结探查术后行乳腺癌保留乳头乳晕皮下腺体切除术。病理结果为乳腺癌,前哨淋巴结未见转移。

    微信图片_20221202184809.jpg


    3、单孔腔镜腋窝淋巴结清扫术

    微信图片_20221202184239.png

    手术病例均为女性,年龄在50-62岁之间,左侧、右侧各1例,均在外院行腋窝淋巴结活检术证实转移,本次手术切口位置均选择隐蔽在腋窝皮肤皱襞,长度约2.5cm,清扫淋巴结数目15-22枚。

    微信图片_20221202184225.jpg

    目前,绝大多数乳腺良性疾病的手术均可考虑使用腔镜完成(建议病灶至少大于3cm,小于3cm则采用开放小切口或微创旋切术等),例如:乳腺纤维腺瘤切除术、良性纤维上皮性肿瘤扩大切除术、多发乳腺纤维腺瘤切除术、乳腺炎病灶扩大切除术、男性乳腺发育症腺体切除术以及注射型隆胸奥美定凝胶取出术等。

    乳腺恶性肿瘤腔镜手术适应证则主要为临床病理证实为cT1~2N0~2的乳腺癌以及乳腺原位癌,具体手术适应证包括:

    1.乳房松弛下垂不明显。

    2.有保留乳房手术指征但不愿接受保留乳房手术,或因多中心病灶不宜接受保留乳房手术。

    3.影像学检查证实肿瘤未侵及乳头乳晕及皮下组织。

    4.肿瘤边缘至乳晕边缘的距离≥2 cm。

    5.乳腺导管内原位癌需行全乳房切除术。

    最终是否能够适用腔镜手术,需要医生结合患者的具体情况,排除手术禁忌证,进行严谨科学地综合评估后决定。


    乳腺中心

    乳腺中心于2009年11月28日揭牌成立,是粤东地区第一个综合性乳腺疾病防治中心。

    作为广东省医学重点学科,乳腺中心严格按照国家卫生部颁布的乳腺癌临床路径、诊治规范、诊疗质量控制指标,参考国际最新研究动向,制订规范化、个体化、人性化的乳腺癌多学科综合诊治方案。

    目前,乳腺中心已建立起基于分子分型及乳腺癌复发转移风险分级的个体化综合诊疗模式,使每一位患者都能获得基于循证医学证据的个体化最佳治疗。


    (乳腺中心)

Baidu
map