当前时间:2026年04月29日 13:24:33
    当前位置 > 首页 > 医院新闻
    钢丝上的舞蹈—肿瘤医院麻醉科团队一天内成功完成两例极高风险嗜铬细胞瘤手术麻醉
    所属分类:[医院新闻]      来源:      更新时间:2023-06-05     

    嗜铬细胞瘤是一种罕见的神经内分泌瘤,主要分泌儿茶酚胺。嗜铬细胞瘤的围术期麻醉风险极大,麻醉诱导、术中操作、挤压肿瘤、甚至体位摆放等细节都会造成儿茶酚胺的大量释放,导致严重的高血压危象、心力衰竭、出血性脑卒中,而肿瘤摘除后由于释放的儿茶酚胺的突然消失,极易发生难以控制的低血压,甚至休克,严重危及患者的生命。近期,汕头大学附属肿瘤医院麻醉科于一天内成功完成两例极高风险嗜铬细胞瘤手术麻醉。


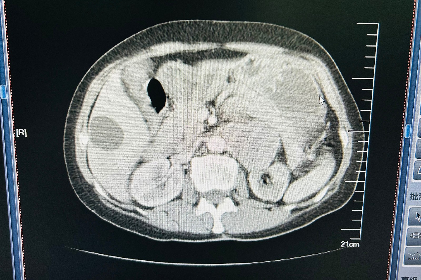
    67岁的段女士,一年前因脑血栓住院治疗时发现血压升高,血压最高时190/130mmHg,一直口服降压药控制,近三个月出现多汗心悸,经我院多学科会诊明确为左肾上腺恶性嗜铬细胞瘤。段女士入院后抽血儿茶酚胺7项提示瘤体功能活跃;CT检查考虑肾上腺肿物为恶性,且瘤体与腹主动脉左侧、肾动静脉、胰腺和脾脏均有黏连;再加上患者既往有脑梗的病史,这些意味着手术难度很大,术中麻醉管理非常困难。

    cfdb887b8305888e2265e17c2746d47.jpg

    肿瘤巨大且瘤体与腹主动脉、肾动静脉、胰腺和脾脏均有黏连


    针对这个情况,医院泌尿外科许哲主任团队和麻醉科徐翔副主任团队积极组织讨论,术前多次会诊访视患者,经过严密的讨论研究、严格按照指南要求积极进行术前准备,制定合理治疗方案、完善各项检查、控制患者血压、恢复血管容量。经过了将近一个月的术前用药和准备,患者血压控制良好。手术前一日,麻醉科全科人员针对该病例进行疑难病例讨论,制定详细的麻醉方案。

    手术当日,麻醉科徐翔副主任、张顺才主治医师、陈尔斌医师团队给患者实施麻醉。麻醉药品、血管活性药品、抢救物品、器械设备等准备完毕,患者入室常规监测后,开放外周通路、桡动脉穿刺置管、中心静脉穿刺置管、BIS监测麻醉深度……一切都有条不紊的进行着。

    44b2447318688fa21682ad44c79e968.jpg8f1684d7b2506c96d58f58b982df0dc.jpg

    9cd62e0b665014b89a62e253bdc5722.jpg

    麻醉医生进行桡动脉穿刺置管、麻醉诱导与术中监测  

    手术过程中,麻醉医生根据脑电监测和有创动脉血压监测,指导输液速度、麻醉药物用量及调整血管活性药泵注速度。

    83907c65b8388cfdef1c605e61c218f.jpg

    手术进行中    

    术中肿瘤分离过程中,患者血压突然升高至200/110mmHg,张顺才医师迅速调整酚妥拉明、硝普钠泵注速度,逐步将患者血压控制到正常水平。因肿物和周围组织黏连严重,术中出血较多,瘤体取出激素撤退后,患者出现顽固低血压,徐翔副主任冷静应对、严密监测,进一步加快补液,给予去甲肾上腺素和肾上腺素升压处理,患者生命体征逐步趋于稳定。术后患者带气管导管转ICU进一步监护和治疗。手术当天下午患者清醒,当晚停用升压药,拔除气管导管,恢复良好。


    接台进行手术的是54岁的林女士,她的病情特点是肿瘤巨大(10.6cm*9.0cm*10.6cm),同样经过周全的术前准备及完善的麻醉方案,主麻医生苏泽耿根据手术进程调整降压及升压药物,尽量维持血流动力学平稳,手术结束患者清醒,逐渐停用升压药物后安全返回病房。


    术前准备情况是嗜铬细胞瘤手术成功与否的基础,积极充分的术前准备可以明显降低围术期并发症发生率以及死亡率。对于这两台操作过程复杂、麻醉管理难度高的手术,肿瘤医院麻醉科团队在术前对手术中每一个惊险环节都制定了精细的应对策略,在各项生命体征严密监测和药物的控制下确保了患者顺利完成手术。此类病例的成功施治,帮助麻醉科团队在应对急危重症患者的围术期管理方面积累了更多的经验,更好地为患者的健康保驾护航。


    (麻醉科)

Baidu
map