当前时间:2026年04月29日 14:34:55
    当前位置 > 首页 > 医院新闻
    肝癌MDT专家团队会诊,转化治疗助力巨块肿瘤切除
    所属分类:[医院新闻]      来源:      更新时间:2023-06-17     

    近日,一名年仅35岁的巨块型肝癌伴门静脉右前支癌栓的年轻患者,经 肝癌MDT团队多学科会诊并协作行转化治疗后,肿瘤显著缩小。

    随后,医院肝胆胰外科古松钢副主任医师团队顺利为该患者实施微创根治性手术治疗,取得了令患者满意的疗效。


    患者情况

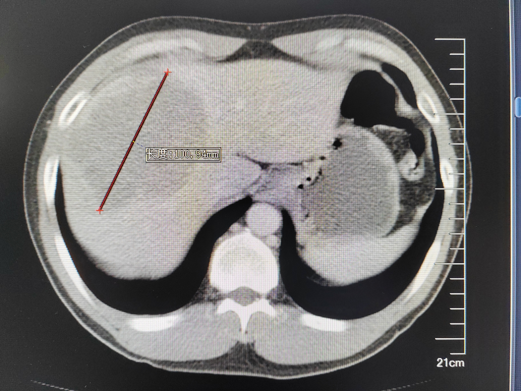
    35岁的郑先生,今年3月份出现“右上腹痛”症状,外院行肝胆B超检查提示“肝占位”。患者遂至肿瘤医院肝胆胰外科古松钢副主任医师门诊就诊。入院后查甲胎蛋白为10013.000 ng/mL,腹部增强CT及普美显增强MR检查均显示:肝S4/8肿块,大小约10×8cm,考虑原发性肝癌,伴门脉右支癌栓。

    图片 1.png 图片 2.png

    腹部增强CT及MR检查提示肝中叶巨块型肝癌伴门静脉右支癌栓


    多学科会诊


    针对郑先生的情况,我院肝癌MDT专家团队进行了多学科会诊。肝癌MDT团队由肝胆胰外科学科带头人古松钢副主任医师牵头召集,团队成员还包括放疗科专家林志雄主任医师、黄利生主治医师、病理科专家魏晓龙主任医师、介入科专家易长虹副主任医师、肿瘤内科专家林丹霞副主任医师、影像学专家杨文彬主治医师。

    肝癌MDT专家团队讨论后认为:患者考虑诊断肝中叶巨块型肝癌,CNLC IIIa期,伴门静脉右支癌栓。患者目前属于中晚期,直接行手术切除风险高,且术后预计效果不佳,复发转移风险较高。遂决定先行转化治疗以使肿瘤缩小或降期,再评估行手术切除以获得更好的预后。

    图片 3.png

    经过患者及其家属同意后,郑先生先后行靶向药物(仑伐替尼 8mg qd)+免疫药物(替雷利珠单抗 200mg q3w)联合治疗2个疗程,2次介入肝动脉化疗栓塞(TACE)术。


    微创手术


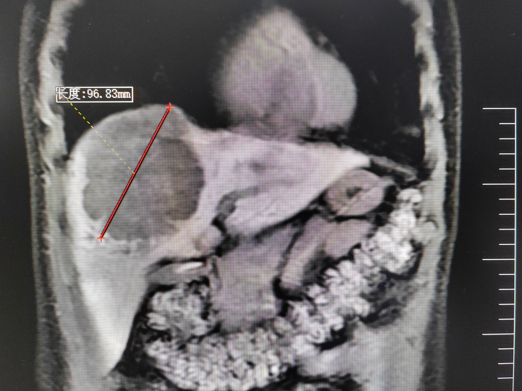
    经过2个月的转化治疗后,郑先生的肿瘤明显缩小,复查腹部增强CT示“肝癌介入后改变,较前缩小,大小约7×6cm,门静脉右支癌栓较前缩小”。甲胎蛋白从10013.000 ng/mL降至94.660 ng/mL。

    图片 4.png

    转化治疗后肿瘤明显缩小

    考虑手术时机已经成熟,古松钢副主任团队为郑先生实施了荧光腹腔镜下肝中叶(右前叶+左内叶)切除+胆囊切除术,术中联合使用B超定位及吲哚菁绿荧光显像系统,行解剖性肝中叶切除。在麻醉科、手术室的默契配合下,手术顺利完成,术后患者恢复良好,术后第6天即出院。术后病理显示:肝癌经综合治疗后,镜下见多灶小片状肝细胞性肝癌残留,团片型,未见脉管癌栓及神经束侵犯。

    图片 5.png


    我国是肝癌大国,每年肝癌新发病例占全球45.3%以上。肝癌在中国癌症发病率中排第4位,在癌症相关死亡中排第2位,患者的5年生存率仅约14%。

    我国大部分肝癌患者初诊时已是中晚期,无法直接行手术治疗。针对我国肝癌诊疗现状,国家卫生健康委员会提出了转化治疗的概念。

    转化治疗是指将不可切除肝癌转化为可切除肝癌,然后切除肿瘤。转化治疗是我国肝癌的重要治疗方式之一。

    近些年来,肝癌的非手术治疗:系统性的药物治疗(如抗血管生成药物治疗、免疫治疗、靶向治疗)、局部治疗(TACE、HAIC和放射治疗)等取得显著进展。抗血管生成药物、或靶向治疗药物联合免疫治疗、TACE、HAIC等治疗方式在肝癌的转化治疗中的作用获得不少认可。经过转化后行手术治疗的肝癌患者,其术后5年生存率可达50%~60%,与早期肝癌切除后的生存率相当。


    肝癌MDT团队 

    肝癌MDT团队于2023年2月份成立,由医院肝胆胰外科、介入科、放疗科、病理科、肿瘤内科、影像科多位专家组成,致力于推动肝癌的规范化诊疗及多学科协助。

    肝癌MDT团队成立至今,已开展多例肝癌患者的MDT会诊,通过多学科的协助合作,对不同的肝癌患者制定个体化的治疗方案,通过对肝癌的手术治疗、全身系统治疗、介入治疗、放疗等各种治疗方式的合理组合搭配,力求最大程度地保证患者的治疗效果。


    (肝胆胰外科)


Baidu
map