当前时间:2026年04月29日 21:31:10
    当前位置 > 首页 > 医院新闻
    肿瘤医院神经外科顺利开展一例近延髓小脑血管母细胞瘤显微切除手术
    所属分类:[医院新闻]      来源:      更新时间:2023-10-23     

    延髓是脑干的重要组成部分,是生命中枢,也是医疗活动的“禁区“,其主要功能为控制基本生命活动,如控制呼吸、心跳、消化等。血管母细胞瘤虽是一种好发于小脑的良性肿瘤,但其血供异常丰富,手术难度巨大,如果肿瘤实质部分近于脑干,手术难度、风险更会几何倍的增加,因此是神经外科领域手术难度较大的手术之一。

    近日,肿瘤医院新成立的神经外科由陈辉副主任医师团队成功开展一例近延髓的右侧小脑血管母细胞瘤显微手术,取得了满意的手术效果。


     病例回顾 

    宋伯一个多月来,时常头晕、头痛伴恶心呕吐,随着病情加重,走路也成了问题。在行走不稳的10天后,宋伯来到肿瘤医院就诊

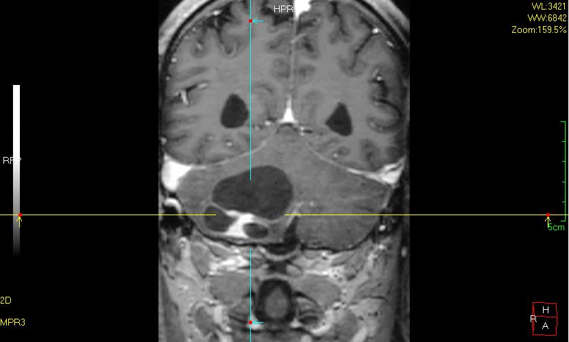
    头颅MRI提示宋伯右侧小脑巨大囊实性占位,血管母细胞瘤可能性大,肿瘤实体部分不规则且靠近延髓,延髓受压变形严重,脑疝倾向,随时有生命危险。

    图片 1.png

    术前头颅MRI示肿瘤巨大且呈囊实性改变

    图片 2.png

    术前头颅MRI示肿瘤压迫延髓  

    图片 3.png

    术前头颅MRI示肿瘤实体部分紧邻延髓


    入院后完善术前检查、准备,并积极控制患者高血压、糖尿病及脱水降颅压等对症支持治疗,并请医院麻醉科徐翔副主任医师团队及ICU林瑞云副主任医师团队进行术前评估。


     术中情况 

    在术前检查完备、血压及血糖控制在安全水平后,于9月底在全麻下行右侧枕下旁正中入路右侧小脑血管母细胞瘤切除术,术后转ICU行监护治疗。


    图片 4.png

    陈辉副主任医师团队在显微镜下精细切除小脑肿瘤   

    手术取右侧枕下旁正中手术入路,开颅充分暴露小脑半球后,用脑穿针进入瘤腔并抽出淡黄色囊液以减压,而后在显微镜下从穿刺部位进入瘤腔对肿瘤实行瘤内切除,进入后见囊腔及肿瘤实质部分广泛出血,快速进行止血,充分止血后见囊腔左下方淡红色实性结节,为肿瘤实体,充分电凝肿瘤周围后,完整切除肿瘤实体。


     术后恢复 

    在ICU及神经外科医护团队的细心照护下,患者很快恢复,临床症状完全消失,10月11日顺利出院,神经外科团队赢得了患者跟家属的赞扬及肯定。

    图片 5.png

    ▲术后第8天头颅CT示术区恢复满意,脑干受压解除恢复正常

    图片 6.png

    ▲出院时患者及家属同神经外科医护团队合影留念

    小脑肿瘤切除术是一项对神经外科医生团队和医疗机构都有着极高要求的手术。它需要医生具备深厚的专业知识和丰富的手术经验,同时也需要医疗机构具备先进的设备和良好的术后康复环境。

    对于适合手术的患者来说,小脑肿瘤切除术无疑是一种有效的治疗手段。通过手术,患者能够获得更长的生存期,更好的生活质量,实现临床治愈。


    神经外科

    目前 神经外科团队已顺利组建,科室依托肿瘤医院肿瘤防治方面医、教、研、设备等全方位的资源优势,形成以神经肿瘤的综合治疗(手术、放疗、化疗)为科室重点专业方向,颅脑创伤、脑血管病、功能神经外科、神经重症等亚专业齐全的综合性神经外科。

    目前主要开展显微镜及神经内镜微创手术治疗各种神经肿瘤(脑膜瘤、胶质瘤、垂体瘤、听神经瘤、脑转移瘤、脑室系统肿瘤等)、脑血管病(高血压脑出血、血管畸形、动脉瘤、烟雾病);轻、重型颅脑损伤开颅手术等综合治疗;各种类型脑积水的诊断及分流手术治疗;面肌痉挛、三叉神经痛、痉挛型脑瘫、帕金森、脑梗死的诊治;脑脓肿、椎管内感染等各种复杂的颅内感染性疾病的综合治疗;去骨瓣减压术后钛网或PEEK材料颅骨修补术;频发性癫痫的迷走神经刺激术(VNS);昏迷促醒治疗等。


    神经外科团队骨干


    图片 7.png

    陈 辉

    医学硕士

    神经外科副主任 副主任医师 

    ▶ 广东省医院协会神经外科专业委员会委员

    ▶ 汕头市医学会神经外科专业委员会委员 

    ▶ 汕头大学医学院兼聘教师

    擅长各种颅脑肿瘤,脑血管病、脑出血、脑外伤、癫痫、脑积水、神经重症、面肌痉挛、三叉神经痛、痉挛型脑瘫等疾病的诊治。曾前往中日友好医院系统学习神经肿瘤、功能神经外科,前往南昌大学第一附属医院学习神经内镜。在垂体瘤、脑胶质瘤、脑膜瘤、脑转移瘤等肿瘤的微创显微外科治疗、颅脑损伤、脑出血和脑积水的个性化治疗以及神经重症领域积累了丰富的经验。


    (神经外科)


Baidu
map