当前时间:2026年04月30日 02:16:04
    当前位置 > 首页 > 医院新闻
    精准“拆弹”!肿瘤医院肝胆胰外科腹腔镜下切除一例巨大肝血管瘤
    所属分类:[医院新闻]      来源:      更新时间:2024-01-08     

    近日, 肝胆胰外科完成了一例腹腔镜下巨大肝血管瘤切除手术。


    腹部不适

    右肝藏匿巨大肿物


    41岁的钱女士,2023年9月底开始出现上腹部胀痛不适,于当地多家医院就诊,考虑右肝巨大肿物,需行手术切除治疗,经多方打听,钱女士来到 肝胆胰外科门诊就诊。

    肝胆胰外科古松钢副主任在查看患者及外院CT报告后,认为患者右肝巨大肿物,大小约9*10*9.5cm,考虑为肝右后叶巨大血管瘤,需积极行手术治疗,否则血管瘤有破裂出血可能。将钱女士收治入院后,进一步完善腹部增强CT,评估患者肝储备功能以及心肺功能。

    图片 1.png

    肝右叶巨大血管瘤MRI

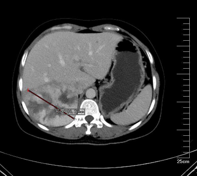
    图片 2.png

    肝右叶巨大血管瘤CT


    肝血管瘤是临床上最常见的肝脏良性肿瘤之一,以海绵状血管瘤多见,发病率约20%,女性多于男性,男女比例约为1:3。

    多数肝血管瘤患者无明显不适,当肝血管瘤瘤体较大,或瘤体生长迅速时,可引起明显的临床症状,主要包括:上腹部隐痛、餐后饱胀、恶心呕吐、嗳气;吞咽困难、呼吸不畅、黄疸;剧烈腹痛伴发热等。

    诊断主要依靠肝脏超声、腹部增强CT、MRI等影像学检查,必须通过2-3项影像学检查方能确诊。

    对于瘤体较小且无明显不适的肝血管瘤患者,可暂不治疗,仅密切随访即可。对于瘤体较大,且已经引起明显症状的患者,需行积极治疗,外科手术为首选治疗方式。


    通力配合

    医疗团队精准“拆弹”


    在完善术前评估后,通过与麻醉科与手术室护理团队的通力配合下,古松钢副主任团队为钱女士施行了腹腔镜下右半肝切除+胆囊切除术,手术过程顺利,手术时长约3.5小时,术中出血约50ml。术后病理提示:右半肝切除标本符合肝血管瘤。

    图片 3.png

    肝右叶巨大血管瘤手术切除标本

    术后钱女士在肝胆胰外科加速康复的理念下早期恢复进食、早期下床活动,在术后的第6天,钱女士恢复良好出院。


    肝胆胰外科

    肝胆胰外科擅长肝脏良恶性肿瘤、胰腺肿瘤、壶腹部肿瘤、胆管癌、肝内外胆管结石及先天性胆管发育异常等疾病的以微创手术为主的综合治疗。常规开展腹腔镜肝段切除术、胰十二指肠切除术、肝门部胆管癌根治术、腹腔镜保脾胰体尾切除术、脾切除术、腹腔镜胆总管切开取石术、腹腔镜胆囊切除术、胆道镜碎石取石术、内镜逆行胰胆管造影(ERCP)、内镜下胆管、胰管支架置入等术式。


    (肝胆胰外科)

Baidu
map