当前时间:2026年04月30日 04:57:04
    当前位置 > 首页 > 医院新闻
    微创显身手!肝胆胰外科成功完成一例3D腹腔镜下胰体尾实性-假乳头状肿瘤切除手术
    所属分类:[医院新闻]      来源:      更新时间:2024-02-08     

    胰腺肿瘤手术一直是外科界富有挑战性的高难度、复杂手术之一,以往患者很多需要通过开腹手术进行治疗,存在着手术切口大,患者术后恢复慢的不足。但在一些技术成熟的胰腺肿瘤外科治疗中心,通过微创手术就能成功地切除胰腺肿瘤。近日, 肝胆胰外科古松钢副主任团队就成功为一名胰体尾肿瘤患者实施3D腹腔镜下胰体尾联合脾脏切除术,通过微创手术解决了患者的病痛。

    患者情况

    患者甘女士,今年31岁,1月余前发现上腹部疼痛,在当地医院就诊,查腹部CT发现胰体尾巨大占位,考虑恶性肿瘤可能,当地医生建议其行开刀手术治疗。经多方打听,甘女士了解到 肝胆胰外科古松钢副主任是胰腺肿瘤方面的专家,在胰腺疾病的诊治方面有丰富经验,遂慕名前来就诊。

    古主任接诊后,为甘女士进行了细致的检查后,结合影像学检查结果分析,考虑患者胰腺体尾部占位为胰腺实性-假乳头状瘤可能,肿瘤巨大,压迫周围脏器组织,侵犯包绕脾动静脉,需行外科手术切除治疗。

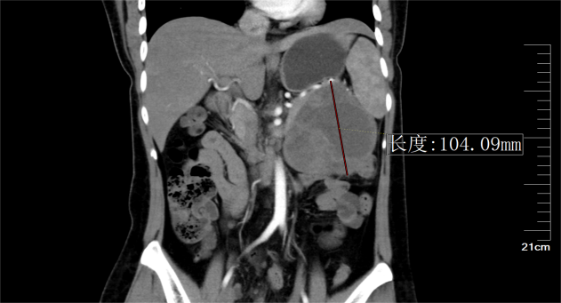
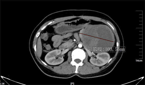
    ▶ 胰体尾部囊实性巨大占位的CT影像

    考虑患者为年轻女性,对腹部切口美容要求较高,古主任遂决定为患者行3D腹腔镜下胰体尾联合脾脏切除术。


    两大挑战

    古主任介绍此次3D腹腔镜下胰体尾联合脾脏切除术有两大大挑战。一是风险高,病灶位于胰体尾,挤压到左肾、胃、脾等器官,侵犯包绕脾动静脉,其周围集中了腹腔重要的血管、器官,术中分离困难,出血风险大,损伤任何一个组织都可能导致术后出现严重并发症。二是操作空间小,由于患者病灶为胰腺体尾部囊实性巨大占位,最大直径超过10cm,病灶基本充满左上腹,行微创操作,手术视野的暴露及操作的空间很小,对术者手术操作技巧要求更高。

    手术情况

    经过完善的术前准备,在麻醉医师团队和手术室护理团队的保驾护航下,古松钢副主任团队成功为患者实施“3D腹腔镜下胰体尾联合脾脏切除术”。手术时间3小时余,术中出血约300ml,术中术后无输血。

    图片 3.png

    ▶  肿瘤医院肝胆胰外科副主任古松钢(右一)为患者实施“3D腹腔镜下胰体尾联合脾脏切除术”

    图片 5.png

    ▶  手术切除肿瘤

    术后在肝胆胰外科团队的精心治疗护理下,甘女士术后恢复良好,无胰漏、出血、感染等并发症发生。术后病理示:(胰体尾肿物)胰腺实性-假乳头状肿瘤。

    术后1周,甘女士康复出院。为了表示感激之情,她还特意送上手写的感谢信及锦旗表达对肝胆胰外科治疗团队的感谢。


    (肝胆胰外科)


Baidu
map