当前时间:2026年04月30日 07:32:58
    当前位置 > 首页 > 医院新闻
    精准麻醉 守护气道——肿瘤医院麻醉科再次成功完成一例高难度困难气道的处理
    所属分类:[医院新闻]      来源:      更新时间:2024-03-17     

    正确预测和处理困难气道是每个麻醉医师时常面临的严峻挑战,没有安全的气道就没有生命的保障。近日, 麻醉科又成功完成一例巨大胸骨后甲状腺肿物致气管重度狭窄的老年患者困难气道处理。

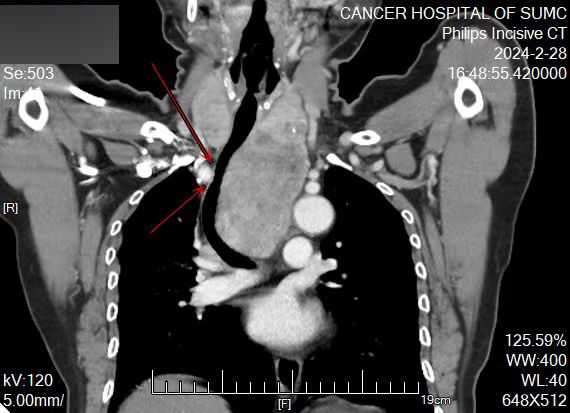
    不久前,许阿姨出现活动后气促的情况,在当地医院检查后发现巨大甲状腺肿物,颈部肿大的甲状腺沿着气管向胸腔内生长,到达气管隆突水平,呈现“哑铃”状,在胸骨后将气管压迫移位、弯曲迂回,管腔受压变窄,最窄处仅为6mm,为“困难气道”。而正常成人气管直径约15mm-20mm,直径<8mm既可发生呼吸困难,这也就解释了为什么许阿姨会在活动后出现气促。

    f87f7ae82ddc080b9cc5a830d4740d2.jpg

    巨大胸骨后甲状腺肿致气管变形狭窄

    65be61cfbd0af99419aa58180f1aea8.jpg

    气管最狭窄处仅6mm

    “困难气道”是麻醉医师遇到的最棘手的问题之一,困难气道的处理与麻醉安全质量密切相关,一旦处理不当,气道不通畅,几分钟就会导致患者大脑损害、心脏骤停,甚至死亡。因此,处理困难气道的能力,是麻醉医生技术水平的最直观体现。


    “困难气道”难在哪?

    ▶ 视频喉镜只能窥探声门上结构,无法看见声门下被压迫气管的情况,即使导管越过声门也很难顺利向下置入;

    ▶ 临床上常用的快速诱导气管插管需要在全身麻醉状态下进行,而肌肉松弛药使用后患者便无自主呼吸,如果在预充氧的时间内无法成功建立人工气道,患者的生命安全将受到严重的威胁,而此时普通的面罩给氧也很难保证能安全过渡;

    ▶ 由于肿块已经生长多年,患者的气管长时间受压,使用肌松药后气管可能会进一步塌陷甚至闭塞,陷入连气管切开都无法拯救生命的绝境。


    手术前,根据许阿姨的病情,麻醉科进行了全科术前疑难病例讨论,根据放射科陈俊伟医生的三维重建图像,大家反复探讨各种可行方案、存在风险及应急预案,最后制定了“保留自主呼吸清醒气管插管”的方案。


    890b237254fd8a93e640f427140bf2d.jpg

    巨大胸骨后甲状腺肿三维重建图像,气管受压变形弯曲狭窄

    8b2a7444fb85dce2216ea6cac4475e3.jpg

    变形狭窄弯曲的气管

    但又有新的问题出现,许阿姨气管受压变长,气管腔狭窄,应该选择什么型号的气管导管才能保证既通过气管狭窄段,又有足够长度越过狭窄区域,避免肿瘤切除后气管塌陷的风险?麻醉科团队进一步根据三维重建测量数据,从长度宽度分别计算,最后选择6.5号加强型气管导管,同时备用小号气管导管若干,并准备经鼻高流量氧疗设备,以应对突发状况。

    手术前一日,徐翔副主任医师去病房看望许阿姨,向她详细解释麻醉实施的过程,许阿姨紧锁的眉头渐渐放松了下来,下定决心配合医生们的手术安排。


    手术当天,在气管插管开始前,麻醉科徐翔副主任、苏泽耿主治医师、郭哲源医师团队再次与许阿姨充分沟通,先让她雾化吸入局麻药,再行环甲膜穿刺注射局麻药,使整个气道得到充分的表面麻醉,并给以适度的镇静药及经纤维支气管镜局部喷洒局麻药物的方法,强化呼吸道黏膜表面麻醉,将插管带来的心理生理不适降到最低。

    5ac4065fe8ec7a1919ae6ea9ca14678.jpg           57c64285031f46368e607997c76ee06.jpg

               雾化吸入局麻药                             纤维支气管镜引导下清醒气管插管

    此后,在纤维支气管镜引导下顺利完成清醒状态下的气管插管,整个过程顺利,许阿姨配合度高,脉搏氧饱和度最低为95%,没有出现明显的低氧血症及呛咳等不适反应,为成功置入气管插管赢得了时间。

    插管成功后,麻醉科团队继续为许阿姨实施全身麻醉,术中严密监测气道压力及生命体征情况,保障了手术的顺利进行。由于甲状腺肿物巨大,压迫周围组织产生严重推移变形,失去了正常的解剖关系,且肿瘤下段深入到胸腔内气管隆突水平,致使手术难度异常增大。

    96d35413a5e33b74acba928c6403e7a.jpg         518b01a70c40c028980617b8a33e3a8.jpg

    术中生命体征平稳                                                手术团队

    最后,在头颈外科郭海鹏主任医师、徐敏主治医师、洪晨善主治医师的共同努力及胸外科陈少斌副主任的指导下,巨大肿瘤最终被完整切除;同时,完好地保留保护好甲状旁腺、喉返神经、气管、食管、颈部动静脉等重要器官组织。整个手术过程中许阿姨生命体征平稳,术后保留气管导管送到ICU进一步监护。

    肿物体积巨大、操作空间狭窄、气道严重变形、操作稍有不慎就会威胁到患者的生命安全,这是一次极大的挑战,本次困难气道的成功处理体现了肿瘤医院麻醉科在处理疑难重症病例上过硬的实力。

    麻醉科一直致力于困难气道插管方法的研究,对不同困难气道采取不同的应对方法,如可视喉镜困难气道插管术、纤维支气管镜引导气管插管术、清醒盲探困难气管插管术、逆-顺联合气管插管术等。拥有精湛业务技术和丰富临床经验的麻醉医师们通过实施精准调控,成功完成了每一例困难气道的处理,为患者的生命安全保驾护航。


    (麻醉科)


Baidu
map