当前时间:2025年11月03日 22:55:57
    当前位置 > 首页 > 医院新闻
    肿瘤医院骨科团队连续完成多台高难度手术
    所属分类:[医院新闻]      来源:优米软件下载官方版      更新时间:2024-11-29     

    近日,优米软件下载官方版骨科团队连续顺利完成多台高难度手术,包括1例右锁骨胸骨端继发型软骨肉瘤扩大切除术+自体腓骨移植重建术、1例前后路联合左侧L5神经根巨大神经鞘瘤切除术及1例左臀部、盆底巨大神经纤维瘤切除术,3位患者术后均恢复良好,疗效满意。


    第一例:右锁骨胸骨端继发型软骨肉瘤扩大切除术+自体腓骨移植重建术


    【病例回顾】

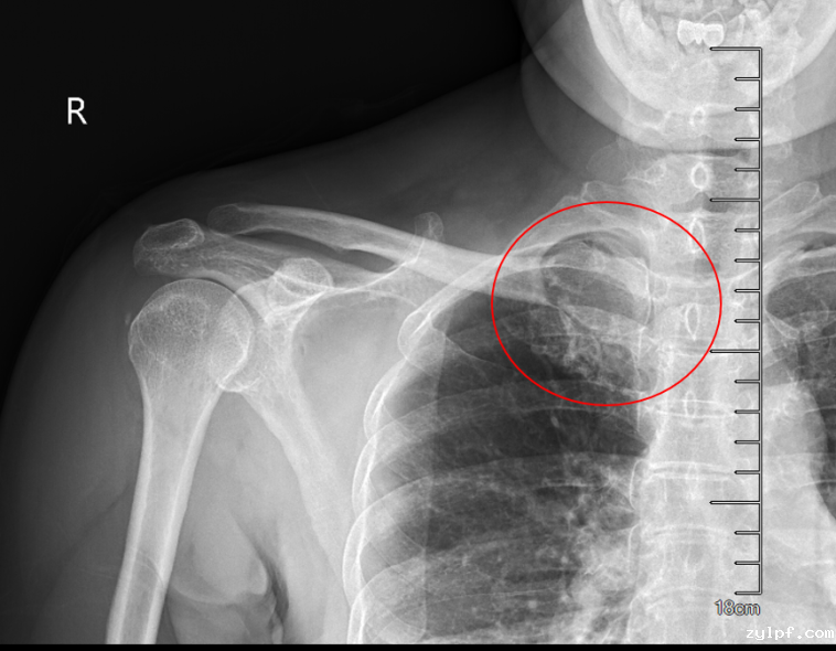
    患者50岁女性,因体检发现右锁骨肿物10余天来诊。入院后X光片示右锁骨胸骨端膨大,密度减低,CT及MRI检查提示右侧锁骨局部骨性凸起伴周围肿块形成,考虑右锁骨胸骨端软骨肉瘤。

     

    图片 1.png

    图片 2.png图片 3.png

    【科普】

    软骨肉瘤是一种恶性结缔组织肿瘤,其细胞具有向软骨分化倾向,形成软骨基质为特点,占原发骨肿瘤的10%-25%,是第三位常见的恶性骨肿瘤,好发生于骨盆、肱骨近端及股骨近端,本例发生在锁骨,属于罕见病例。普通型软骨肉瘤对放化疗不敏感,主要治疗手段为手术治疗。


    完善术前评估及准备后,王伟东副主任团队为患者实施了右锁骨胸骨端继发型软骨肉瘤扩大切除术+自体腓骨移植重建术。术中见肿物与颈总动脉、头臂静脉相邻紧密,王伟东副主任凭借扎实的手术技术,完整将肿瘤和临近大血管分离,完整切除肿瘤。目前患者伤口恢复良好,已逐步开始康复锻炼,肩关节活动无障碍。

    图片 4.png

    图片 5.png

    图片 6.png


    第二例:前后路联合左侧L5神经根巨大神经鞘瘤切除术


    【病例回顾】

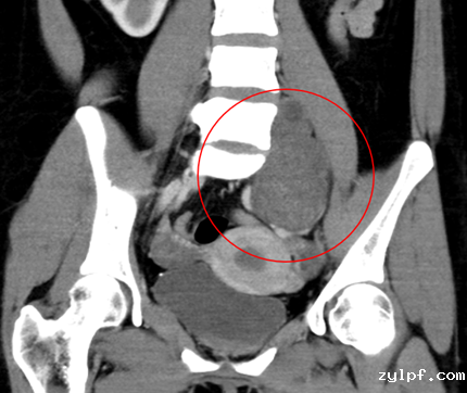
    患者21岁女性,因左下腹隐痛2月,检查发现左腰骶椎前占位4天来诊。入院后进一步完善影像学检查提示左侧L5/S1椎间孔及椎体前后方占位。病灶钻缝生长,延伸至椎管内,再沿L5左侧横突孔向后伸至脊柱旁,横突孔增宽增大,骨质变薄,邻近肠管、左侧髂总血管稍推压移位。穿刺活检结果提示神经鞘瘤。

    图片 7.png

    图片 8.png

    【科普】

    神经鞘瘤属于椎管内髓外硬膜内肿瘤,发自脊神经后根,呈结节状,有完整的包膜。肿瘤内可发生囊变或小灶性出血。约17%的肿瘤顺延神经根生长,进入椎间孔,骑跨在硬膜内、外而呈哑铃状。可发生于椎管内任何节段,以颈胸段最多。

     

    因肿瘤成哑铃状跨越椎体前后方,手术需行前后联合入路,前方入路需面对髂血管、输尿管等重要结构,后方则有脆弱的脊髓及神经根,对手术技巧要求极高,并且需要手术医生掌握大量的解剖学知识。经过充分的术前准备及术中的精细操作,完整切除肿瘤并重建脊柱稳定性。术后患者下肢功能未受影响,复查腰椎正位片示内固定稳定在位,CT示肿瘤已完整切除。

        

    图片 10.png

    图片 9.png


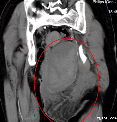
    第三例:左臀部、盆底巨大神经纤维瘤切除术


    【病例回顾】

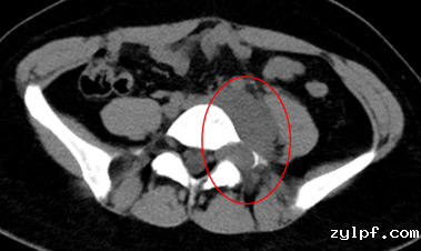
    患者为54岁女性,自幼发现全身多发皮肤、皮下结节,并持续增多、变大,其中左臀部肿物尤为明显,因短时间内生长迅速、影响正常行走和排便功能来诊。患者体表可见大量散在皮肤结节、牛奶咖啡斑,MRI提示肿物信号混杂,膀胱、子宫、直肠明显受压右移,CT示该肿物跨盆腔内外,较大层面范围约13.5×8.7×13cm,密度欠均,夹杂囊变,累及左侧闭孔内肌、梨状肌、肛提肌及左侧外阴。

    王伟东副主任团队根据患者临床症状、影像学特征及既往病史分析,确认患者得的是一种罕见遗传病——神经纤维瘤病1型(Neurofibromatosis type1,NF-1)。

    图片 12.png

    图片 13.png图片 11.png

    【科普】

    神经纤维瘤病1型(Neurofibromatosis type1,NF-1),1882年由Von Recklinghausen首次报道,因此也称Von Recklinghausen病,是NF1基因突变引起的常染色体显性遗传病,全球发病率约为1/3000,约50%患者为家族遗传突变,其余为散发突变。典型的临床症状包括咖啡牛奶斑(Cafe-Au-Lait Macules,CALMs),虹膜Lisch结节(虹膜错构瘤),神经纤维瘤,腋窝或腹股沟雀斑、视路胶质瘤(Optic Pathway Glioma,OPG)等,其中神经纤维瘤是最为常见和具有特征性的症状之一。目前该病在全世界范围内属疑难病症,缺乏绝对有效的治疗方案,治疗一般以减轻症状、提高生活质量为主,难以根治。手术治疗一般为主要的治疗手段。

    经过与胃肠外科、泌尿外科、妇科等多学科专家讨论,决定对该肿物进行扩大切除术。该手术难点主要在于:1.肿瘤巨大,瘤体血供丰富,且临近骶静脉丛,出血风险极高;2.肿瘤与盆腔内脏器、髂血管、坐骨神经等重要结构关系密切。因肿物与直肠下段、肛门及阴道分界不清,肛提肌受累,需切除直肠下段及肛门行永久性造瘘,首先由我院胃肠外科团队完成腹腔镜下直肠、肛门切除术+结肠造口术。经过腹腔镜探查,泌尿外科、妇科团队确认肿物未累及膀胱、子宫等其他盆腔内脏器,由骨科团队在术前3d建模辅助下完成左臀部、盆底肿物扩大切除术。

    图片 15.png

    图片 14.png

    术后患者臀部外观得以修复,可正常排便、下地活动,复查CT示肿物占位效应得到明显缓解。患者及家属对手术效果表示满意,并对我院骨科团队表示感谢。

    图片 16.png



    (骨科)


Baidu
app优米