当前时间:2025年11月03日 20:40:49
    当前位置 > 首页 > 医院新闻
    非常City!肿瘤医院骨科收到来自广东以色列理工学院的英文锦旗和感谢信
    所属分类:[医院新闻]      来源:优米软件下载官方版      更新时间:2024-12-05     

    繁忙的急诊室里,一名由担架运送而来的外国患者捂着右腿发出痛苦的呻吟,由于语言不通,他的脸上流露出的焦虑和紧张显得尤其明显。在接到会诊电话后,优米软件下载官方版骨科医师迅速到场,立即安抚患者并组织治疗。

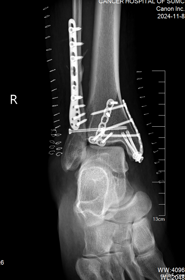
    经CT扫描表明患者右胫腓骨远端粉碎性骨折(旋后-外旋型)合并右踝关节后脱位及右侧下胫腓联合损伤。

    图片 3.png

    图片 2.png

    三踝骨折合并后脱位  


    骨科医师团队配合娴熟,首先依靠手法复位纠正了右踝关节后脱位并对右下肢进行了石膏外固定,这极大减轻了患者的痛苦。但根据过往的经验判断,患者的踝关节在1周内都将处于水肿期,如果贸然进行切开复位内固定手术,可能加重这一情况而导致一系列并发症。骨科王伟东副主任将此情况同患者做了说明,并耐心地沟通,建议其先行保守治疗10天,在皮肤软组织情况好转后再进行限期手术。

    在这10天里,医院骨科医护团队对患者进行了精心的照料,并时刻同患者保持积极的沟通。随着右踝关节肿胀的逐渐消退,手术的时机也日益成熟。最终,凭借精湛的技术,患者右胫腓骨远端骨折达到了解剖复位。

    图片 4.png

    患者术后复查骨折端解剖复位


    术后,患者按计划开始了早期的康复治疗,整个康复计划包括物理治疗、功能锻炼和心理辅导,在医护人员的悉心照料下,患者的右踝关节活动能力日渐恢复。出院两周后,患者返回医院进行复查。检查结果显示,患者的右踝活动功能良好,骨折部位固定良好。患者对医护人员的精湛医术和悉心照料表示了深深的感激。

    ba4ecc637a0586d75f484272de77940.jpg

    a31df58ff09b77dfe3276159622829a.jpg

    601cb8857d26490e94df71a8bb09b4c.png


    来自患者的锦旗与感谢信


    王主任表示:“三踝骨折是一种严重的关节内骨折,常合并踝关节周围结构损伤。早期复位固定和专业的治疗康复方案对预后有着极大的影响。延误或者不恰当的治疗可能导致关节不稳定、畸形愈合、慢性疼痛和功能障碍等。当遭遇此类高能量损伤时,请及时就医。


    这起病例不仅展示了肿瘤医院骨科医护团队卓越的专业素养和技术积累,也体现了他们在面对语言沟通障碍患者时的耐心和智慧。通过精心的治疗和护理,患者不仅恢复了健康,还在异国他乡感受到了家的温暖。这是一次成功的医疗救治,也是一次跨越语言和文化的人文关怀实践。


    图片 1.png

    王伟东

    骨科副主任

    医学博士,副主任医师

    硕士生导师,国际留学生导师

    汕头市青年英才、汕头大学医学院优秀全英教师、优秀教学奖获得者

    擅长软组织肉瘤根治性保肢手术治疗,四肢恶性骨肿瘤保肢手术,脊柱肿瘤全切重建术、脊柱肿瘤分离切除减压内固定术、脊柱转移瘤微创手术、脊柱微创内镜手术及创伤/脊柱/关节骨科常规手术。

    【学术兼职】

    汕头市抗癌协会第一届骨和软组织肿瘤专业委员会主任委员;广东省健康管理学会骨科学专业委员会第二届委员会副主任委员;汕头市医学会第三届骨科脊柱外科学专委会副主任委员;广东省医师协会骨肿瘤专业医师分会第二届委员会青年医师工作组副组长;全国卫生产业企业管理协会骨科分会第一届委员会常务委员(骨肿瘤);第二届广东省医师协会骨肿瘤分会委员会常务委员、脊柱肿瘤专业组成员;广东省健康管理学会脊柱专业委员会第二届委员会常务委员广东省抗癌协会肉瘤专业委员会第二届委员会常务委员广东省精准医学应用学会肉瘤分会第一届委员会常务委员;广东省康复学会脊柱分会常务理事;广东省医院协会脊柱外科专委会常委;广东省抗癌协会黑色素瘤专业委员会第三届委员会委员;广东省医学会脊柱外科学分会第五届委员会委员;广东省医学会骨科学分会第十一届委员会委员;汕头市医学会第二届关节外科专委会常委;广东省科学技术评审专家;汕头市医院等级评审专家;《汕头大学医学院学报》第六届编辑委员会委员


    (骨科


Baidu
app优米