当前时间:2025年11月03日 20:33:25
    当前位置 > 首页 > 医院新闻
    罕见30cm巨脾切除!肿瘤医院肝胆胰外科成功为一名地中海贫血患者实施巨脾切除术
    所属分类:[医院新闻]      来源:优米软件下载官方版      更新时间:2024-12-08     

    近日,优米软件下载官方版肝胆胰外科成功为一名地中海贫血患者实施了罕见巨脾切除术。


    患者情况 

    患者王女士,今年31岁,因“巩膜皮肤黄染伴腹部膨隆2月余”来我院就诊。患者2月余来自觉巩膜、皮肤逐渐变黄,伴腹部渐渐膨隆,以左侧为甚,影响到进食。

    患者家属重视,遂至当地医院就诊,查肝功能提示胆红素升高,腹部CT检查提示胆囊结石,脾脏明显增大。为求进一步诊治,王女士慕名来到我院肝胆胰外科古松钢副主任门诊就诊。

    古松钢副主任触诊发现患者腹部明显膨隆,脾脏肿大明显,触及脾脏下极达盆腔。患者入院后完善了相关检查。

    血常规:白细胞 2.82 *10^9/L、血红蛋白 81.00 g/L、血小板 118.00 *10^9/L

    肝功能:总胆红素 114.3 umol/L、直接胆红素 8.8 umol/L、间接胆红素 105.5 umol/L、肿瘤标志物未见明显异常

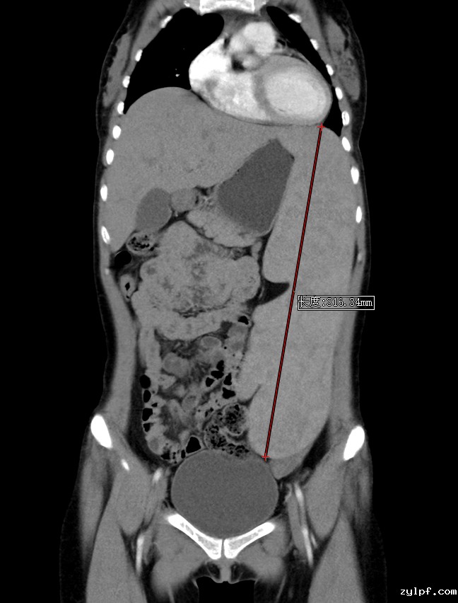
    胸腹部增强CT:1.脾脏重度肿大,最大径线超过30cm,脾静脉明显增粗,考虑门脉高压。2.心室及大血管血液密度减低,考虑贫血。

    图片 1.png

    CT示脾脏重度肿大,最大径线超过30cm


    结合王女士的临床表现及检验、检查结果,古松钢副主任高度怀疑患者为血液系统疾病导致的脾大。考虑到广东是地中海贫血的高发地区,古主任进一步为患者进行了地中海贫血基因筛查,基因检测结果显示患者为轻型β型地中海贫血。由于血红蛋白的结构异常,容易被破坏而发生溶血,进而引发贫血及黄疸。长期溶血及贫血的刺激导致脾脏增大,脾功能亢进。脾功能亢进又进一步破坏患者的白细胞、红细胞、血小板,加重贫血,并导致患者白细胞、血小板减少。


    手术治疗


    脾切除能够减少脾脏对自身血细胞的破坏,一定程度上减少患者输血的次数及需求量,是治疗地中海贫血的有效方法之一。

    考虑患者贫血严重,脾脏最大径线约32cm,为保障医疗安全,减少患者术中出血的风险,古松钢副主任团队在充分的术前准备和风险评估后,与患者及家属充分沟通,最终确定最适合王女士的手术方案为全脾切除术。

    在医院手术室护理团队和麻醉科徐翔、黄小燕副主任医师的协作下,古松钢副主任团队成功为患者施行了全脾切除+副脾切除+胆囊切除术。

    尽管团队此前已处理过巨脾病例,但如此巨大的脾脏仍属罕见。脾脏本身质地脆弱易碎,加之患者脾脏充血肿大、周围间隙狭窄、侧支循环丰富以及粘连,手术难度和风险都相对提高。在操作过程中稍有不慎就有可能导致大出血或创面持续渗血,且容易损伤胃壁、胰腺等邻近器官。

    图片 2.png图片 3.png

    术中

    图片 4.png

    手术切除的脾脏

    凭借精湛的手术技巧及丰富的经验,古松钢副主任经过约2个小时的精细操作,成功将巨大的脾脏切除,术中出血量约50ml,术中无输血,取出的脾脏体积约为32×18×9厘米³。王女士术后恢复良好,无相关并发症出现,术后1周顺利出院。


    专家介绍

    图片 5.png

    古松钢

    优米软件下载官方版

    肝胆外科学科带头人、副主任

    副主任医师 ,硕士生导师

    岭南名医 , 医学博士

    擅长原发性肝癌、胰腺癌、壶腹部肿瘤、胆管癌、结直肠癌肝转移、肝内外胆管结石、肝囊肿及先天性胆管发育异常等疾病的微创手术为主的综合治疗。

    【学术兼职】

    广东省卫生信息网络协会肝胆胰外科数字医学应用分会副会长

    汕头市抗癌协会肝癌专业委员会主任委员

    广东省基层医药学会肝脏外科专业委员会常务委员

    广东省抗癌协会肝癌专业委员会委员

    广东省肝脏病学会肝胆肿瘤精准治疗专业委员会委员

    汕头市医学会肝胆外科分会常务委员

    【出诊时间】

    大学路院区每周二上午8:30—12:00

    饶平路院区每周五上午8:30—12:00



    (肝胆胰外科)


Baidu
app优米