当前时间:2025年11月03日 05:48:59
    当前位置 > 首页 > 医院新闻
    多学科联合攻坚,3D技术护航生命——肿瘤医院骨科成功完成一例胸腹壁巨大复发性软骨肉瘤手术
    所属分类:[医院新闻]      来源:优米软件下载官方版      更新时间:2025-04-07     

    近日,优米软件下载官方版骨科、肝胆胰外科、胃肠外科、泌尿外科等多学科团队通力协作,历时7小时,成功为一名右胸壁及腹腔巨大肋骨复发性软骨肉瘤患者实施根治性切除手术。在3D模拟技术的精准导航下,手术团队在完整切除肿瘤的同时,成功保留患者右肾及结肠功能,创造了复杂胸腹壁恶性骨肿瘤治疗的又一成功案例。这场“生命保卫战”的背后,既是外科团队技术实力与协作精神的集中展现,也是数字化医疗技术赋能疑难手术的生动实践。


    病情复杂:复发性肋骨软骨肉瘤侵犯多器官,手术面临“保命”与“保功能”双重挑战 


    患者两年前曾在外院接受右胸壁肋骨软骨肉瘤切除术,近期复查发现肿瘤复发并迅速增大。

    图片 3.png

    图片 4.png

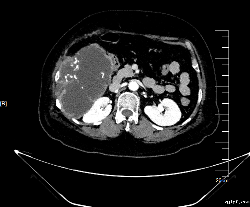
    术前CT评估肿物与周围脏器关系,横截面与冠状面

    影像检查显示,肿物起源于第7,8肋骨,沿胸腹壁蔓延累及第7至第11肋,上界与肝脏S5、S6段分界不清,内侧包膜紧贴右侧结肠,后方逼近右肾。“患者首次手术已切除部分肋骨,此次复发范围更广、侵袭更深,既要确保肿瘤完整切除(R0切除),又要最大限度保护重要脏器,需要多学科专家协作和新技术手段保驾护航。”骨科王伟东副主任在初次讨论时指出了本案例的关键节点。


    3D模拟“精准拆弹”:数字化技术为复杂手术绘制“导航图”


    面对这一复杂病例,医院外科团队迅速启动多学科会诊(MDT)机制。在术前,团队利用3D数字医学重建技术,将患者的影像数据转化为立体可视化模型。

    图片 1.png

    图片 2.png

    3D模拟肿物与周围脏器关系,正视图与侧视图(黄色为肿物)


    通过360度旋转、分层透视,肿瘤与肋骨、肝脏、结肠、右肾以及临近大血管的解剖关系一目了然:肿瘤起源于第7,8肋骨,向胸腹腔内膨胀性生长;肿瘤上界与肝脏S5、S6段分界不清,需要术中探查明确情况,必要时需要切除部分肝脏;结肠及右肾虽毗邻肿瘤边界,但尚未被肿瘤浸润,为功能保留提供可能。

    “3D数字医学重建技术不仅可以帮助我们评估手术边界,还提前模拟了术中可能遇到的血管变异和脏器保护难点,让我们能够在完整切肿瘤的同时,尽最大努力保留患者的正常器官组织。”到会的肝胆胰外科古松钢副主任、泌尿外科许哲主任 、胸外科陈少斌副主任、胃肠外科林桂兴主治医师等专家均对3D数字医学重建技术表示认可并讨论制定专科手术协助方案。在充分的讨论后,基于这一“导航图”,MDT团队最终确定了“整块切除受累肋骨及部分肝脏,分离保护结肠及右肾”的手术方案。


    多学科无缝衔接:7小时“生命保卫战”彰显团队硬实力


    手术当日,骨科、肝胆胰外科、胃肠外科、泌尿外科专家齐聚手术室,展开了一场与时间赛跑的“接力战”:

    骨科率先攻坚,沿术前规划的切除边界离断第7-11肋,游离出肿物的内外侧及基底边界;通过钝性分离与能量器械结合,完整分离结肠和肿瘤表面包膜;肿瘤与肝脏部分黏连边界不清楚,在肝胆胰外科精细操作,针对肿瘤与肝脏分界不清的S5、S6段,采用超声刀精准离断,切除部分肝组织实现肿瘤最后的完整切除;胃肠外科再对剥离后的结肠进行外膜缝合修复,探查确认右肾胞膜完整;骨科团队最后对胸壁及腹壁膈肌等结够进行重建修复完成手术。术中,团队凭借默契配合,以600ml的出血量完成肿瘤根治性切除,并成功保留患者右肾及结肠的完整功能。术后病理证实切缘阴性,实现R0切除目标。

    图片 5.png

    图片 8.png

    术中整块切除标本

    术后第2天患者苏醒后无特殊不适,逐渐从流质饮食转入普通饮食,日常生活很快日常化。

    图片 9.png

    术后复查情况

    图片 11.png

    患者对治疗效果满意,出院前与医护人员合影


    技术引领未来:MDT+3D模拟,助力医院外科迈入精准化时代 


    此次手术的成功,标志着优米软件下载官方版在复杂胸腹壁骨肿瘤治疗领域实现新突破。近年来,医院依托多学科协作(MDT)机制,将3D数字化模拟、个体化重建等技术常规应用于疑难手术规划,成功完成多例高难度手术。肿瘤医院资深名医、骨科学科带头人王新家主任医师表示:“从‘经验手术’到‘精准手术’,从‘单打独斗’到‘多科协同’,技术创新与团队配合是攻克复杂疾病的两大法宝”。未来,肿瘤医院将持续推进外科亚专科的深度融合与技术创新,让精准医疗惠及更多患者。


    手术团队

    图片 12.png

    王伟东

    骨科副主任,医学博士,副主任医师,硕士生导师,国际留学生导师,汕头市青年英才,汕头大学医学院优秀全英教师及优秀教学奖获得者。

    擅长软组织肉瘤根治性保肢手术治疗,四肢恶性骨肿瘤保肢手术,脊柱肿瘤全切重建术、脊柱肿瘤分离切除减压内固定术、脊柱转移瘤微创手术、脊柱微创内镜手术及创伤/脊柱/关节骨科常规手术。

    学术任职:汕头市抗癌协会第一届骨和软组织肿瘤专业委员会主任委员;广东省健康管理学会骨科学专业委员会第二届委员会副主任委员;汕头市医学会第三届骨科脊柱外科学专委会副主任委员。


    图片 13.png

    古松钢

    肝胆胰外科副主任,医学博士,学科带头人,副主任医师 ,硕士生导师,岭南名医 。

    擅长原发性肝癌、胰腺癌、壶腹部肿瘤、胆管癌、结直肠癌肝转移、肝内外胆管结石、肝囊肿及先天性胆管发育异常等疾病的微创手术为主的综合治疗。

    学术任职:广东省卫生信息网络协会肝胆胰外科数字医学应用分会副会长;汕头市抗癌协会肝癌专业委员会主任委员;广东省基层医药学会肝脏外科专业委员会常务委员。


    图片 14.png

    林桂兴

    胃肠外科主治医师

    学术任职:广东省临医会结直肠外科专业委员会委员;汕头市医学会胃肠外科学专业委员会委员;汕头市精准医学应用学会普外分会常委;汕头博士会胃肠专委会常委。


    (骨科


Baidu
app优米