当前时间:2025年11月02日 18:28:39
    当前位置 > 首页 > 医院新闻
    精准介入新高度——肿瘤医院超声介入科常规开展多模态影像融合导航下介入诊疗技术
    所属分类:[医院新闻]      来源:优米软件下载官方版      更新时间:2025-07-14     

    近来,优米软件下载官方版超声介入科常规开展超声融合多模态影像导航下介入诊疗技术,为肿瘤专科患者带来更安全、更精准、更高效的微创诊疗体验!这一技术的突破性应用,标志着我院在精准介入诊疗领域迈入国内前沿水平。

    作为粤东西北地区唯一一所集医疗、教学、科研、预防为一体的三甲肿瘤专科医院,我院收治来自粤东地区及其周边省市肿瘤患者,而在肿瘤诊断与治疗领域,精准与安全是永恒的主题。一直以来,肿瘤的介入诊疗主要依赖单独的影像学引导,如超声下引导、CT下引导或者DSA下引导为主流的诊疗介入操作。

    众所周知,CT或DSA引导下具有定位精准、适用范围广等优点,但其具有辐射暴露、实时性较差等不足。而超声影像引导下则具有无辐射暴露、实时动态成像、软组织对比度高、便携性与可重新性高等优点,但同时其受气体和骨骼干扰,使用范围稍有不足。随着肿瘤医学诊疗技术的快速发展,单影像引导的模式显然满足不了现代医学的发展模式,多学科诊疗、多模态影像融合引导下的介入诊疗模式则成为了肿瘤医学发展的新方向。

    正因如此,超声影像融合CT、MRI、PET-CT引导下的介入诊疗技术应运而生,充分利用各种影像各自的优点,为介入医生提供了更加便捷、精准、有效的影像引导方式,特别是超声影像融合PET-CT引导下介入诊疗,更是打开了“实时动态+功能代谢”的双重导航的大门,实现了病灶定位从“毫米级”到“代谢活性靶点”的跨越,显著提升疑难病例的介入诊疗成功率及安全性,助力患者精准、高效诊治!  


    病例展示

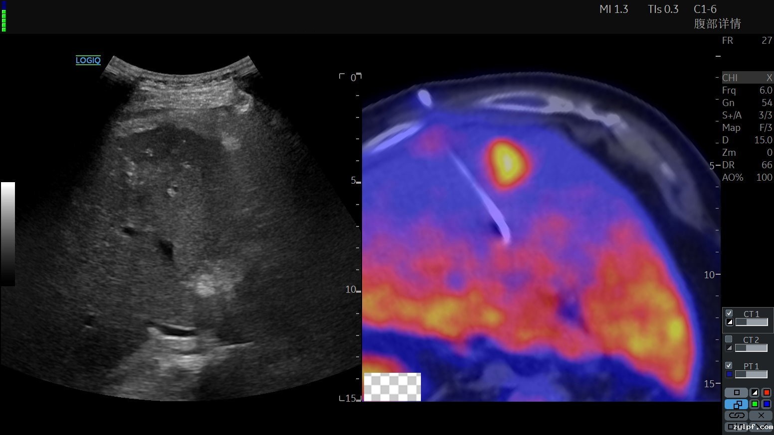
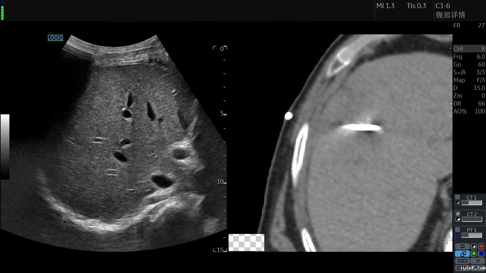
    患者1食管癌术后,我院PET-CT提示肝脏高代谢区域,考虑恶性肿瘤,无法明确为新发病灶肿瘤或转移病灶,拟行活检,常规超声及普通CT病灶显示模糊,定位精准性明显不足。

    9f2a85cea9bdf5b2e653d98345a9a0f1.jpg

    左图为普通超声图像,右图为普通CT图像

    肿瘤医院超声介入科施行超声融合PET-CT引导下穿刺活检,整个过程仅需10-15分钟,既精准,又安全有效率。

    24a01d4b30dcafc8e7006b4cc99ecd9b.jpg892159a573ee7ec2594f5d59d4e43265.jpg

    超声介入专科医生术前配准、融合超声和PET-CT影像

    d4a0add0900f0ca9a67f0a28b5b6b437.jpg

    f949422915c5e376eddda4652a8ac795.jpg

    超声设备显示的超声融合PET-CT图像,可以看到PET-CT精准显示高代谢肿瘤病变,配准融合后发挥超声影像的实时便捷性,再结合PET-CT影像清晰显示的高代谢靶目标


    肿瘤医院超声介入科专科带头人、科室负责人陈哲副主任医师对多模态融合影像的优势与用途进行了介绍:

    【多模态影像融合导航的优势】

    开展多模态影像融合导航下介入诊疗技术,可以实现多种影像精准融合,各影像学优势互补,PET-CT可以清晰显示病灶的代谢活性区域(如高摄取的肿瘤组织),避免穿刺坏死或低活性部位,而超声影像可以发挥实性便捷性,动态观察穿刺路径,避开血管、神经等重要结构,提升安全性。通过智能融合影像导航技术,把PET-CT的代谢信息与超声实时图像融合叠加,实现“代谢热点”的精准靶向穿刺、置管以及消融治疗。  

    【多模态影像融合导航的应用范围】

    常见的穿刺活检、置管引流、肿瘤消融、超声介导肿瘤粒子植入等等。多模态影像融合可以突破各个影像引导的传统局限,把各种影像技术的优势充分发挥出来,特别适合深部微小病灶(如肝脏、胰腺、腹盆腔肿物等)、传统影像难以鉴别的复发灶或治疗后残留组织(如仅能在普美显MRI或PET-CT显示的病灶)、多发性病灶中筛选最具介入价值的靶点等等,既能发挥超声的实时动态便捷性,又能发挥诸如普美显MRI、PET-CT精准显示病灶的优点,各显神通,融合一体。  



    超声介入科

    优米软件下载官方版超声介入始终秉承“更精准、更微创、更安全、更有效”的工作理念,也是一个真正实现“诊治一体化”的新型科室,集临床、科研及教学为一体的综合性科室,专科技术达到省内领先、国内前茅的水平。

    科室目前设置超声介入门诊(肿瘤微创)、超声介入手术室、超声介入病房,是国内为数不多的拥有独立超声介入病房的科室。

    科室目前能够完全覆盖所有常见的超声介入诊疗项目,包括但不限于:

    1.经皮多脏器良恶性肿瘤消融术;

    2.下肢静脉曲张消融术;

    3.恶性肿瘤放射性粒子植入术;

    4.经皮乳腺结节/肿瘤微创旋切术;

    5经皮穿刺活检或穿刺定位术;

    6.经皮穿刺抽吸、置管引流、穿刺造瘘及通道建立术;

    7.经皮多脏器囊肿穿刺硬化术;

    8.经皮多脏器肿瘤穿刺注药术;

    9.脏器或肿瘤超声造影评估项目。

    特别是科室能够成熟利用超声介入医学新技术,融合导航成像、超声造影成像、人工液体隔离等技术辅助完成疑难消融病例,如原发性肝癌、转移性肝癌、子宫肌瘤、子宫腺肌瘤、结节性甲状腺肿等超声微创消融治疗术。

    全科人员团结协作,积极进取,开拓创新,不断攀登技术的高峰,争取为患者提供“医德好、技术好、环境好、服务好”的医疗服务!


    (超声介入科

Baidu
app优米